问AI· 骨刺本身不直接致痛,痛感真正来源是什么?
作者声明:该文章由AI辅助创作
生活中,脚后跟痛是很常见的现象。很多人觉得这是走路多累着了,或者是年纪大了的正常情况,忍一忍就过去了。但事实上,脚后跟持续疼痛,往往提示足部某个结构出现了问题。如果不找出具体原因,只是简单忍耐,疼痛可能会越来越重,甚至影响正常行走。
图片来源于视觉中国
脚后跟痛由什么原因导致?
根据疼痛的不同特点和原因,脚后跟痛通常和以下三种情况有关。
1、足底筋膜炎
这是脚后跟痛最常见的原因。足底筋膜是脚底一层厚实的组织,它连接着脚后跟和脚趾,起到支撑足弓的作用。当它长期承受过大拉力,就会出现微小撕裂和无菌性炎症,从而引发疼痛。

疼痛位置在脚后跟底部,最明显的特征是晨起下床踩地第一步剧痛。走几步活动开后,疼痛会有所减轻。但如果长时间坐着不动,再次起身行走时,疼痛又会重新出现。长时间站立或行走的人、扁平足或高足弓人群、突然增加运动量的跑者、体重较大的人。
日常注意减少高冲击活动,暂时避免长时间跑步、跳跃。选择合适鞋子,穿鞋底有一定厚度和支撑的鞋,避免穿平底布鞋或硬底鞋。要适当休息,给足部组织自我修复的时间。

图片来源于视觉中国
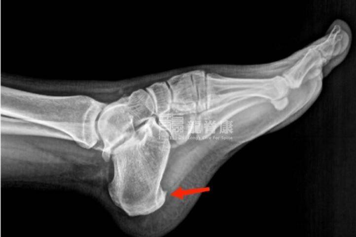
2、足跟骨刺
骨刺常被认为是尖锐的东西扎在肉里,其实它本身不直接引起疼痛。骨刺是身体的一种代偿反应,当足底筋膜在跟骨附着点被过度牵拉时,身体会自我修复,时间长了可能钙化形成骨刺。通常是在足底筋膜炎的基础上出现的。
症状和足底筋膜炎非常相似,也是脚跟底部痛。但骨刺患者的疼痛点可能更固定,按压时有明显的尖锐感。通过X光片可以明确看到跟骨前方有骨性突起。

很多人看到X光片上的骨刺就认为是它导致疼痛,其实疼痛主要还是来自筋膜的炎症。治疗的重点也是消除炎症和改善力学环境,而不是切除骨刺,除非骨刺非常大或保守治疗无效。
3、痛风性关节炎
当体内尿酸过高,尿酸盐结晶沉积在关节内,就会引发剧烈炎症。脚后跟的跟骨和周围软组织也是尿酸盐容易沉积的部位。
疼痛往往突然发作,可能在夜间或饮酒、高嘌呤饮食后出现。疼痛非常剧烈,呈红肿、灼热感,痛到无法触碰被子。而足底筋膜炎通常是钝痛,很少出现红肿发热。一般在中年男性、有 高尿酸血症病史的人、喜欢海鲜啤酒的人群高发。
如果怀疑是 痛风,急性期需 抬高患肢、多喝水、避免高嘌呤食物,并需要到医院检查血尿酸水平来确诊。

图片来源于视觉中国
医生建议
如果脚后跟痛持续存在,或者影响到走路姿势,建议您可以先到骨科或足踝外科就诊。医生通过体格检查基本能判断,必要时会建议做超声或X光片来排除骨刺或应力性骨折。
如果是痛风发作,按摩会加重炎症和疼痛;如果是足底筋膜炎,暴力按压也可能加重损伤。在疼痛缓解期,可以尝试用手抓住脚趾向身体方向轻轻扳动,拉伸脚底筋膜和跟腱,这有助于预防复发。

脚后跟痛不是小事,它提示您的足部正在承受超出负荷的压力。找到原因,针对处理,才能尽快恢复正常行走。
(本文部分图片来源于“视觉中国”)